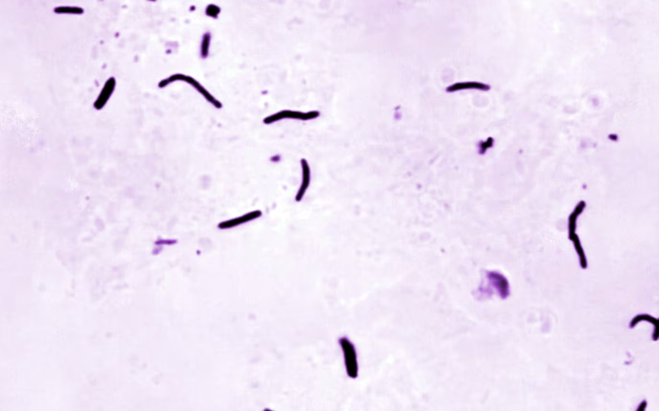
സെൻ്റ് ജോൺസ് : ലാബ്രഡോർ ഇൻയൂട്ട് സെറ്റിൽമെൻ്റ് ഏരിയയിൽ ക്ഷയരോഗികളുടെ എണ്ണം വർധിക്കുന്നതായി ന്യൂഫിൻലൻഡ് ആൻഡ് ലാബ്രഡോർ ആരോഗ്യവകുപ്പ് റിപ്പോർട്ട് ചെയ്തു. അണുബാധിതരെ കണ്ടെത്തുന്നതിനും രോഗവ്യാപനം തടയുന്നതിനും ആരോഗ്യപ്രവർത്തകർ കോൺടാക്റ്റ് ട്രെയ്സിങ് നടത്തുന്നുണ്ട്. സാധാരണയായി ശ്വാസകോശത്തെ ബാധിക്കുന്ന ബാക്ടീരിയകൾ മൂലമുണ്ടാകുന്ന ഒരു പകർച്ചവ്യാധിയാണ് ക്ഷയം. അതിന്റെ ലക്ഷണങ്ങളിൽ തുടർച്ചയായ ചുമ, പനി, രാത്രി വിയർപ്പ്, ശരീരഭാരം കുറയൽ എന്നിവ ഉൾപ്പെടുന്നു.

ഈ മാസം ആദ്യം, കാനഡയിലെ ഇൻയൂട്ട് കമ്മ്യൂണിറ്റികളിൽ ക്ഷയരോഗം ഇല്ലാതാക്കുന്നതിനുള്ള ധനസഹായം ഫെഡറൽ സർക്കാർ പുതുക്കാത്തതിനെ കാനഡയിലെ ഇൻയൂട്ട് പ്രതിനിധീകരിക്കുന്ന സംഘം അപലപിച്ചിരുന്നു. ഇൻയൂട്ട് കമ്മ്യൂണിറ്റികളിലെ ക്ഷയരോഗ നിരക്ക് തദ്ദേശീയരല്ലാത്ത കനേഡിയൻ പൗരന്മാരേക്കാൾ 300 മടങ്ങ് കൂടുതലാണെന്ന് ഇൻയൂട്ട് ടാപിരിറ്റ് കനാറ്റമി പറയുന്നു. സമീപകാല ഫെഡറൽ ബജറ്റിൽ ധനസഹായം ഉൾപ്പെടുത്താത്തത് ഈ പൊതുജനാരോഗ്യ അടിയന്തരാവസ്ഥയെ മനഃപൂർവ്വം അവഗണിക്കുന്നതിന് തുല്യമാണെന്നും സംഘടന ആരോപിച്ചു.
